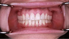
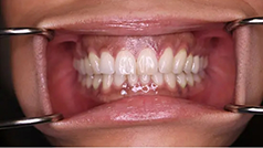
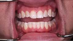
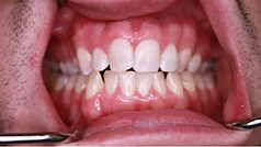
Dental Smile Gallery Washington, DC
Creating More Confident, Healthy Smiles
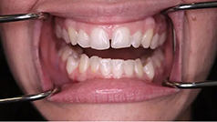
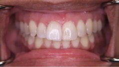
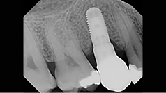
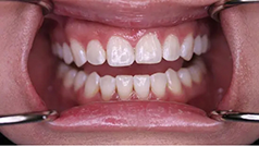
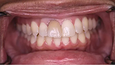
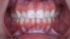
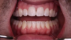
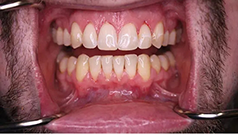
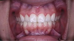
Dr. Kham’s extensive training and over 20 years of experience allow him to provide truly comprehensive dentistry in Washington, DC, even offering more advanced cosmetic and restorative procedures. Offering world-class care and results that are designed to last are very important to us, but we would love for you to see how we put that commitment into action by viewing our smile gallery below! Whenever you’re ready to start your own journey towards a beautified and restored smile, we welcome you to give us a call to schedule a consultation.
More to Explore
About Us Meet Dr. Kham Meet Our Team Tour Our Office Our Technology View Our Services